Přejít k hlavnímu obsahu

Příběh Ivany: Žiju s dírou v hlavě

Mladá maminka Ivana Sedláčková trpěla po porodu dcery ochromujícími migrénami. Po šestinedělí najednou utichly, přesto pro jistotu zašla na vyšetření. Diagnóza zněla nádor mozku. Jaké to je žít s dírou v hlavě a jak se o tom dá napsat kniha?

Přidejte si Svět Ženy do oblíbených na Google zprávách

Napadlo vás před vyšetřením, jak závažnou diagnózu se dozvíte?
Vůbec. Podstoupila jsem vyšetření u neurologa, které vypadalo dobře, jen tam byla malá odchylka. Neurolog si myslel, že to bude kojením, jelikož hormony mohou ovlivnit výsledek. Pro jistotu mě ještě poslal na magnetickou rezonanci. Cítila jsem se dobře, mezi první vyšetřením a magnetickou rezonancí uběhlo několik měsíců, kdy už mi nic nebylo.

Trpěla jste na migrény někdy dřív?
Ne, měla jsem je jen v průběhu šestinedělí a na magnetickou rezonanci jsem šla až pět měsíců po porodu. Hlavně jsem si myslela, že to souvisí s císařským řezem. S koncem šestinedělí skončily migrény a kdyby nebylo mojí mamky, už bych dál nic neřešila. Ale ona mě přemluvila, ať si radši na vyšetření zajdu.  

A po magnetické rezonanci už bylo vše jasné? 
Ani mě nechtěli pustit domů, měla jsem rovnou zůstat na lůžkovém oddělení, kde bych počkala na převoz do Prahy na operaci. Řekli mi: "Máte nádor na mozku." A já na to: "Aha, dobře, tak já teď pojedu domů, něco si zařídím a přijedu později, až se mi to bude hodit".

Vy jste vůbec neměla strach, když jste se dozvěděla, že máte nádor? 
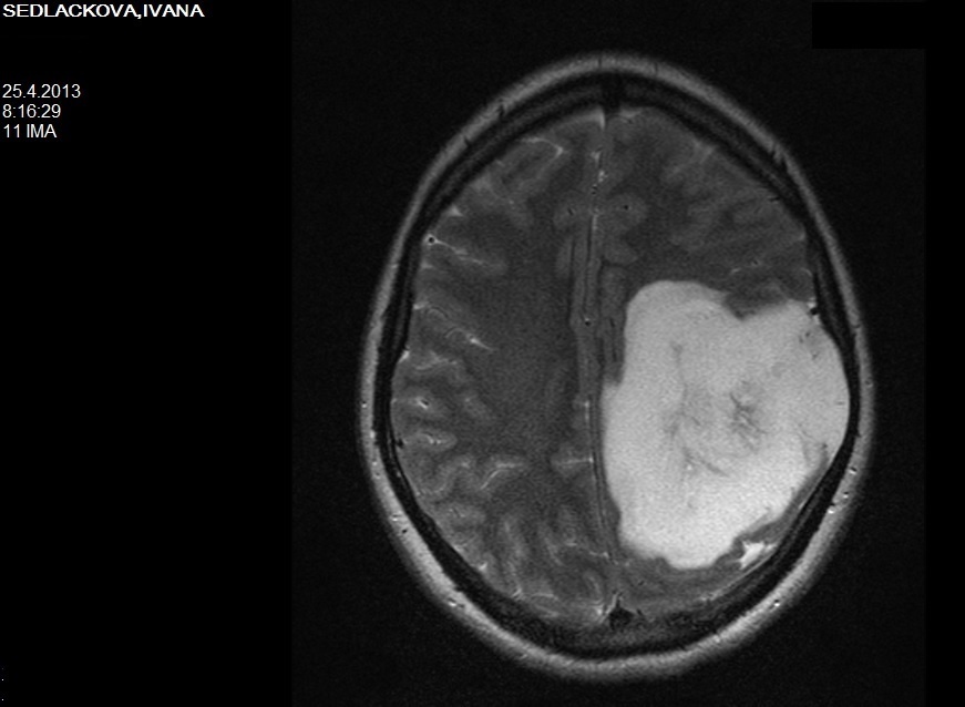
Asi mi to nedocházelo. Fakt jsem chtěla jít domů, dcera měla tehdy horečku. A doktor se mě pak zeptal, jestli jsem viděla snímek z rezonance a ukázal mi, jak můj mozek vypadá. Více jak čtvrtinu zabíral nádor. Až tehdy jsem ztratila důvěru sednout si za volant a někam jet. Tak jsem tam teda zůstala.

Snímek mozku z magnetické rezonance.

Snímek mozku z magnetické rezonance.

 

Jaká byla reakce manžela, když jste mu řekla o nádoru? 
Byl pro mě neskutečnou oporou. Ve chvíli, kdy jsem mu do telefonu řekla, že mi na našli nádor a že už ten den domů nepřijedu, jak bylo v plánu, zalapal po dechu, ale pak fungoval na milion procent a udělal pro mě i dceru první poslední.

Na operaci jste šla hned?
Až za měsíc. Tehdy jsem kojila půlroční dceru a muselo se počkat, dokud se kojení nezastaví. Hormonálně totiž ovlivňuje tělo i mozek, takže operovat hlavu, když je pod vlivem hormonů, není vhodné.

Víte, jak dlouho nádor rostl? 
Asi od dětství.

To jde? Za dvacet osm let na to nikdo nepřišel?
Když mi bylo dvacet, spadla jsem při lyžování a bouchla se do hlavy. Ten večer jsem se motala a vypadalo to, že mám otřes mozku, ale na neurologii řekli, že jsem v pořádku. Tak jsem se před operací nádoru ptala lékaře, jestli to nemohlo být způsobena právě tím pádem, ale nepovažoval to za možné. Kdyby byl nádor způsoben pádem a narostl do takových rozměrů, jako jsem měla já v době první operace, tělo by na něj nějak reagovalo - omdlévala bych, měla výpadky vidění či paměti. Já nic takového neměla. Takže si myslí, že jsem nádor mohla mít od narození či od dětství, a mozek se mu přizpůsobil, jak postupně rostl.

Jaké to bylo po operaci?
Zpočátku náročné, ale brala jsem to pozitivně. Věděla jsem, že nádor je venku a nebyl zhoubný. Navíc jsem brala antidepresiva, díky kterým jsem měla zjitřené všechny smysly, například jsem měla perfektní sluch. Otevřela jsem v osmém patře v paneláku okno a slyšela jsem, o čem si na chodníku povídají sousedky. Taky jsem skvěle rozuměla cizím jazykům. Studovala jsem je, ale neuměla jsem je úplně dokonale. Po operaci jsem si pustila nějakou písničku v angličtině, francouzštině a najednou jsem rozuměla každému slovu a říkala jsem si - aha, tak to mi ten nádor určitě utlačoval nějakou oblast, která ovládá jazyky. Ale nezůstalo mi to, mozkové vzruchy se uklidnily, když jsem antidepresiva vysadila.

Překvapilo vás něco během následné léčby?
Měla jsem spoustu „aha“ momentů. Divila jsem se, proč mi nikdo neřekl, že můžu mít třeba epilepsii. I když mi to lékař možná řekl a já zapomněla, nebo informaci vytěsnila. Nevěděla jsem, že když mi brní ruce, souvisí to s potřebou navýšit léky. Cítila jsem brnění v ruce a měla v ní křeč, myslela jsem si, že mám zaťatou pěst, ale když jsem se na ni podívala, ruka byla úplně v klidu. Myslela jsem si, že jsem se zbláznila. To se mi stalo po první operaci ještě v nemocnici. Pak mi lékař řekl, že to souvisí s epilepsií.

Bylo více takových aha momentů?
Čekala jsem, že mi po chemoterapii dorostou vypadané vlasy. Jenže po tři čtvrtě roce jsem vlasy stále neměla. Na místech, kde se nezářilo, vlasy rostly, ale na místech ozáření ne. Na kožním jsem zjistila, že tím ozařováním se napůl umrtví i kořínky a je potřeba jim pomoct. Tyhle momenty vedly k tomu, že mě napadlo si všechny informace zaznamenat a sepsat nějakou brožurku s tipy pro další pacienty. Psaní mě ale začalo bavit a najednou jsem psala knížku o své "cestě".

Ivana s rodinou

Bylo těžké psát o tom, co jste prožila? 
Těžké to bylo hlavně v tom, že jsem psala pomaleji, než bych potřebovala. I písmenka jsem na klávesnici hledala obtížněji, takže jsem si to začala namlouvat na diktafon a postupně přepisovala a doplňovala o nové myšlenky. Takhle jsem knížku pomalu poskládala. Než jsem se ale dostala k závěru, nemoc se mi vrátila.

Za jak dlouho se to stalo?
První operace proběhla v roce 2013, druhá o rok a půl později. Tentokrát to bylo zhoubné, takže jsem si prošla chemoterapií a ozařováním. Bylo to ve chvíli, kdy dceři byly dva roky a já chtěla znovu otěhotnět. Tehdy jsem se dozvěděla, že můžu vysadit léky na epilepsii, což byl můj mezník. Plánovala jsem, že jakmile je vysadím, budu chtít otěhotnět. Ten samý den přišly výsledky z magnetické rezonance, že se mi nádor vrátil - na stejném místě byly tři nové nálezy.

Místo druhého těhotenství jste podstoupila druhou operaci. 
Ano. A v tu chvíli jsem začala hledat důvod, proč se mi to děje, proč se mi nádor vrací. Předtím jsem to brala tak, že nemoci přichází, každý nějakou má a psychosomatika mě nezajímala. Samozřejmě je to můj pohled, pan doktor by vám asi řekl něco jiného, ale mně tohle naladění pomohlo se přes nemoc překlenout.

Našla jste ten důvod?
Díky nemoci jsem začala vnímat některé věci jinak. Například jsem si uvědomila, že už nechci druhé dítě, že jsem ráda, že tu vůbec jsem, že mám báječnou dceru, s kterou můžu trávit čas, že vidím, slyším, chodím. Předtím jsem chtěla tři děti, líbily se mi velké rodiny. Ale změnila jsem názor, protože si vážím svého života a nechci ohrozit sama sebe. Ale dlouho mi trvalo, než mi tohle "docvaklo". Postavila jsem sebe na první místo. 

V čem by bylo další těhotenství rizikové? 
Je to nápor na imunitu a já mám v mozku ještě nějaké nevyříznuté tkáně, které jsou příliš podobné s tou mozkovou. Kdybych byla hodně unavená anebo měla oslabenou imunitu, mohou tyto tkáně způsobit problémy.

Vaše kniha se jmenuje Díra v hlavě. Po operaci vám tam tedy zůstalo místo, kde nic není?
Myslela jsem si, že až nádor bude venku, mozek se nějak zpětně vytvaruje a budu ho mít jako všichni ostatní. Ale ne. Já tam tu díru mám, proto se tak jmenuje i knížka. Půl roku po operaci jsem měla velké problémy s pamětí. Nic jsem si nepamatovala, nedokázala jsem spočítat peníze, nevěděla jsem nic. Začala jsem chodit na ergoterapii, což mi ohromně pomohlo a teď je to mnohem lepší.

Ve své knize zmiňujete, že jste nechtěla znát žádné prognózy...
Nechtěla jsem. Teď už ji teda vím, ale bylo mi mnohem líp, když jsem ji nevěděla. Kdybych se mohla zpětně rozhodnout, všem bych doporučila, ať se na prognózy neptají. Najednou víte, že máte limitovaný čas a na tu informaci se můžete upnout, což vás může zničit...

Jak jste vydržela nehledat žádné informace? Natož v dnešní době, kdy jde každý na internet a "googlí".
V jednom nestřeženém okamžiku na mne vybafnul článek o nádorech na mozku a já si ho samozřejmě přečetla. Takže jsem se dozvěděla, že gliom (můj typ nádoru) je nezhoubný a má tendence se změnit do formy, která je velmi agresivní. Což se pak i stalo. Víc jsem radši nečetla. Ale jsem tu o pár let déle, než zněla prognóza. Takže asi bylo dobře, že jsem nic nehledala.

Ve vaší knize jsou opravdu vtipné pasáže, žádný smutek a beznaděj.
Pro mě je důležité knihou říct, že i když diagnóza může znít děsivě, nemusí to tak ve výsledku být. Já to tak nebrala, prostě to přišlo v tu "nejlepší chvíli". Měla jsem totiž silnou motivaci, proč se z toho dostat. Důležité bylo snažit se jít dál. 

Dcera ví, že jste byla nemocná? 
Ví to. Teď je jí šest roků a nedokázala bych jí to tajit. Mám na hlavě dlouhou jizvu, kterou samozřejmě viděla nebo ji cítí, když mě hladí po vlasech. 

Cítíte, že by vám v mozku něco chybělo?
Teď ne. Ale před druhou operací jsem cítila, že mě tam něco zabolelo, přestože lékař říkal, že to není možné. Ale bylo to tak. Krátkodobá paměť nebo počty pořád nejsou žádná hitparáda. Zapomínám. Ale když si na vše udělám poznámky v mobilu, tak nějakým způsobem funguju. Snažím se nedeptat se tím, co mi nejde, ale být vděčná, že vůbec jsem.

Vydání knihy Ivany Sedláčkové Díra v hlavě mi ukázala cestu můžete podpořit ZDE a rovnou si tak i knihu koupit.

×