Přejít k hlavnímu obsahu

Neplodnost je na vzestupu: Přijďte na vyšetření — oba!

Info ikona
Dítě z umělého oplodnění

Neplodnost se v současnosti řadí mezi civilizační nemoci. Není divu, problémy s početím řeší každý pátý český pár. Máte i vy podobné trápení? Odborníci z Centra reprodukční medicíny ISCARE popisují průběh celého procesu a upozorňují také další důležité faktory v procesu umělého oplodnění — laboratorní metody, které zásadně zvyšují šanci na úspěšné oplodnění a donošení zdravého plodu. Pojďte se o nich dozvědět...

Věděla jste, že Česká republika patří mezi nejúspěšnější země v oboru reprodukční medicíny? První dítě „ze zkumavky“ se u nás narodilo v Brně v roce 1982 a Centrum reprodukční medicíny ISCARE patří mezi přední špičková zařízení v Česku, dosud zde lékaři pomohli přivést na svět více než 12 tisíc dětí. Tato klinika je vyhledávaná pacientkami nejen z Česka a Slovenska, ale také ze zemí západní Evropy či Severní Ameriky. S jakými technologiemi a metodami pracuje?

Kdy přijít na vyšetření? Platí pravidlo jednoho roku

„Pokoušíte-li se otěhotnět bez úspěchu více než rok, nechte se co nejdříve vyšetřit. V Centru reprodukční medicíny ISCARE jsme posílili zdravotnický personál, termín vstupní konzultace, která je zdarma, je díky tomu možné již do týdne a léčbu tak můžete začít téměř okamžitě,“ doporučuje primář Centra reprodukční medicíny ISCARE MUDr. Jan Lacheta. Záhy po vstupní konzultaci obvykle přichází na řadu spermiogram, tedy vyšetření spermií muže. „Jde o rychlé a neinvazivní vyšetření, výsledky jsou k dispozici už za pár hodin a může nám zodpovědět celou řadu otázek. Mužský faktor je ostatně příčinou neplodnosti stejně často jako ten ženský. Je proto důležité, aby se nechali vyšetřit oba z páru,“ vysvětluje MUDr. Lukáš Bittner, vedoucí lékař Centra andrologie ISCARE.

Info ikona
Laboratoř IVF

Komplexnost vyšetření

Přímo v ISCARE se provádí také gynekologické a imunologické vyšetření ženy, není tedy třeba docházet jinam a předávat si informace mezi zařízeními, což většinou celý proces zdržuje. Pokud se nepovede odstranit příčiny obtíží zabraňující přirozenému početí, přichází na řadu umělé oplodnění. I to může být rychlejší, než si lidé často představují. „Celý proces umělého oplodnění probíhá v rámci jednoho menstruačního cyklu. Většinou druhý den menstruace začíná stimulace vaječníků, odběr vajíček je obvykle mezi 10. až 14. dnem cyklu a o pět dnů později probíhá transfer embrya. V době očekávané menstruace už může být žena těhotná,“ popisuje primář Centra reprodukční medicíny ISCARE MUDr. Jan Lacheta.

Laboratorní metody jako klíč k úspěchu

Moderní medicína nabízí také laboratorní metody, které napomáhají zvýšit šanci na úspěšné oplodnění, správný vývoj embrya a donošení plodu. Jednou z takových metod je selekce spermií pomocí mikrofluidního čipu. „Tato metoda umožňuje vybrat ze vzorku ty nejkvalitnější spermie. Výběr je umožněn napodobením přirozeného prostředí ve vejcovodech. Spermie procházejí soustavou membrán a do koncové části čipu se dostávají jen ty dobře pohyblivé bez výrazných tvarových odchylek. Takto vytříděné spermie poté využíváme k oplození oocytů,“ vysvětluje vedoucí laboratoře Centra reprodukční medicíny Ing. Veronika Faměrová.

Info ikona
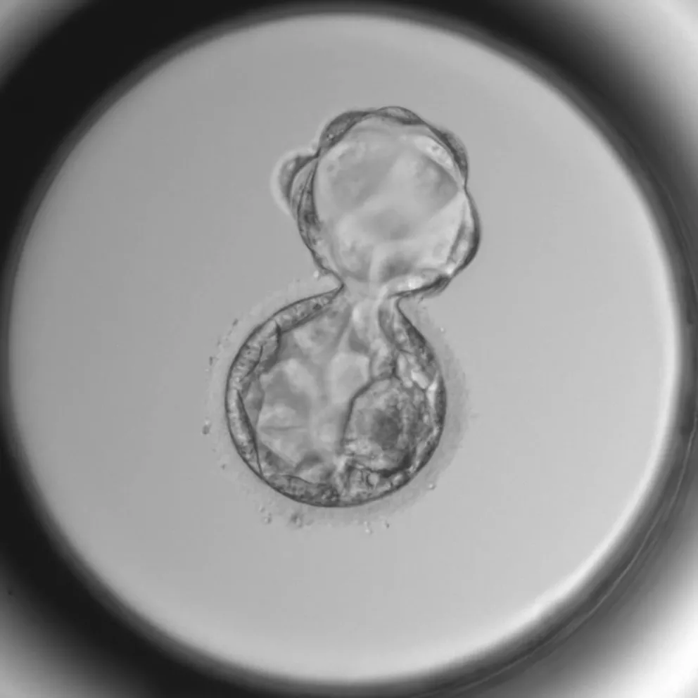
Embryo

Genetický screening jako prevence případných nezdarů

Další neméně důležitou metodou je genetický screening. „Ve věku nad 35 let například výrazně vzrůstá počet embryí s náhodnými změnami v počtu chromozomů, které můžeme vyloučit pomocí preimplantačního genetického screeningu. Tím urychlíme celý proces a můžeme předejít případným potratům,“ uzavírá Veronika Faměrová (na fotce níže).

Info ikona
Faměrová Veronika z ISCARE
Měření
×